Termin Nachricht
Sattelgelenksarthrose

Handchirurgie

Sattelgelenksarthrose

Die Sattelgelenksarthrose (Rhizarthrose) ist eine Erkrankung, die überwiegend Frauen ab dem 50. Lebensjahr betrifft. Insgesamt sind Frauen etwa 10 mal so häufig betroffen wie Männer, dies bedeutet allerdings nicht, dass die Erkrankung nicht auch bei jüngeren Frauen und Männern auftreten kann.
Die Sattelgelenksarthrose kann auch nach Knochenbrüchen (Bennett-Fraktur) oder Bandverletzungen im Bereich des Sattelgelenkes als sogenannte „posttraumatische Arthrose" auftreten.
Typische Symptome der Sattelgelenksarthrose sind: Schmerzen an der Daumenbasis, vor allem beim Versuch eine Flasche mit Drehverschluss oder ein Marmeladenglas zu öffnen oder Schmerzen beim festen Händedruck. Weiterhin geben die Patienten einen Kraftmangel an, gelegentlich würden ihm Gegenstände aus der Hand fallen.
Diese Symptome sind so typisch, dass sie auch bei fehlenden Veränderung auf dem Röntgenbild das Vorliegen einer Sattelgelenksarthrose hochwahrscheinlich machen.
Röntgenaufnahmen sind bei der Diagnostik der Sattelgelenksarthrose obligatorisch, in seltenen Fällen kann eine Computertomografie hilfreich sein. Weitere apparative Untersuchungen wie eine Kernspintomogramm oder eine Szintigrafie sind nicht erforderlich, da sie keine weiteren für die Behandlung relevanten Informationen bringen. 
Viele Ärzte sind leider immer noch der Meinung, dass man „bei einer Sattelgelenksarthrose sowieso nichts machen könne."
DIES IST FALSCH !
Es stehen uns - in Abhängigkeit vom Stadium der Erkrankung – diverse Behandlungsmöglichkeiten zur Verfügung.
Im Anfangsstadium, wenn zwar die typischen Symptome vorliegen, aber auf dem Röntgenbild noch keine Veränderungen erkennbar sind, ist es sinnvoll unter Röntgendurchleuchtung Kortison in das Sattelgelenk zu spritzen. Diese Injektion soll bewirken, dass die im Rahmen der Arthrose entzündete und geschwollene Gelenkschleimhaut abschwillt und damit der Druck im Gelenk und der Schmerz reduziert wird.
Sollte diese Injektion keine oder keine ausreichende Wirkung zeigen oder die Wirkung hält nur kurz an, dann wäre als nächster Schritt die Arthroskopie (Gelenkspiegelung) des Sattelgelenkes erforderlich.
Bei dieser relativ kleinen Operation wird eine 2,5 mm dicke Optik mit Kamera in das Sattelgelenk eingeführt. Man kann dann erkennen, inwieweit der Gelenkknorpel geschädigt ist und wie stark die entzündlichen Veränderungen ausgeprägt sind. Es kann dann mit einer kleinen Fräse oder einem sogenannten „VAPR" eine Reduktion des entzündlichen Gewebes und/oder eine Glättung des Knorpels durchgeführt werden (Gelenktoilette), gleichzeitig können Knorpelanteile, die frei im Gelenk liegen (freie Gelenkkörper) entfernt werden.
Dr. Wittemann ist einer der Pioniere des Sattelgelenksarthroskopie, er hat diesen Eingriff 2004 zum ersten Mal durchgeführt und 2010 die erste Veröffentlichung in deutscher Sprache über diesen Eingriff publiziert. Mittlerweile hat er Sattelgelenkesarthroskopien in deutlich dreistelliger Zahl durchgeführt.
Sollte es sich bei der Sattelgelenksarthroskopie zeigen, dass eine alleinige Gelenktoilette nicht mehr sinnvoll ist, aber trotzdem noch „brauchbare" Knorpelflächen vorliegen, wäre der nächste Eingriff eine sogenannte Korrekturosteotomie des ersten Mittelhandknochens.
Bei dieser Operation wird aus dem ersten Mittelhandknochen, knapp oberhalb der Basis, ein etwa 3 mm großer Knochenkeil entfernt und der Knochen danach mit einer Platte wieder stabilisiert.
Dies bewirkt, dass die Belastungszone des Daumensattelgelenks sich auf gesunden Knorpel verlagert und die Arthrose damit zumindest verlangsamt wird.
Nach dem Eingriff erfolgt - wenn überhaupt - nur eine kurze Ruhigstellung, die Behandlung dauert nach der Operation etwa 6-8 Wochen.
Wir führen diesen Eingriff im Frühstadium der Sattelgelenksarthrose seit etwas über 2 Jahren durch, die mittelfristigen Ergebnisse sind bis jetzt durchaus positiv.
Sollte das Sattelgelenk so stark geschädigt sein, dass weder eine arthroskopische Gelenktoilette noch eine Korrekturosteotomie erfolgversprechend sind, so stellt die sogenannte „Resektionssuspensionsarthroplastik" seit mehreren Jahrzehnten den Goldstandard der operativen Behandlung der Sattelgelenksarthrose dar.
Bei diesem Eingriff wird das große Vieleckbein vollständig entfernt und eine direkt darunter liegende Sehne als Ersatz in die entstandene Lücke zwischen dem Kahnbein und dem 1. Mittelhandknochen gezogen, es gibt hierfür verschiedene Technik, wir verwenden eine sogenannte „Fadensuspension".
In früheren Zeiten erfolgte nach diesem Eingriff eine mehrwöchige Ruhigstellung, seit einigen Jahren erhalten die Patienten nach der Operation nur noch einen dicken Verband, in dem sie bereits nach wenigen Tagen den Daumen bewegen können.
Eine Nachuntersuchung hat gezeigt, dass beim Verzicht auf eine Ruhigstellung die Dauer der gesamten Behandlung sich ziemlich genau um die Dauer der Ruhigstellung verkürzt, die Ergebnisse sind sowohl von der Verminderung des Schmerzes, als auch von der Funktion des Daumens identisch.
Nichtsdestotrotz dauert die Nachbehandlung nach der RSA etwa 10-12 Wochen mit einer deutlichen Varianz in jede Richtung.
Es ist durch viele Studien nachgewiesen, dass die RSA – egal, in welcher Technik man sie durchführt – bei 95-97% operierten Patienten zu einer deutlichen Besserung ihrer Beschwerden oder gar einer Beschwerdefreiheit führt und die Funktion der operierten Hand sich ebenfalls deutlich verbessert.
Seit Anfang 2019 führen wir auch wieder die Implatantation von Kunstgelenken (Gelenkprothesen) in das Daumensattelgelenk durch. Es gibt Sattelgelenksprothesen bereits seit über 3 Jahrzehnten, allerdings zeigten diese keine guten Langzeitergebnisse. Seit kurzem sind jetzt Prothesen auf dem Markt, welche die konstruktiven Probleme der "alten" Systeme beseitigt haben und deutlich bessere Langzeitergebnisse versprechen.
Im Vergleich zur RSA hat die Sattelgelenksprothese den Vorteil, dass das grosse Vieleckbein erhalten bleibt und bei einem eventuellen Versagen der Prothese die RSA weiterhin möglich wäre.
Die Prothese hat auch den Vorteil einer kürzeren Nachbehandlungszeit von durchschnittlich 8 Wochen, allerdings ist der technische Aufwand der Operation deutlich höher als bei der RSA.
Seit April 2020 können wir bei ausgewählten Patienten/innen die Implantation einer Sattelgelenksprothese auch als ambulanten Eingriff anbieten.

Vor der Operation

Arthroskopiebefund: Knorpelschaden am Os trapezium

Nach der Operation

Postoperatives Röntgen nach Entfernung des Os trapezium

Nach der Operation

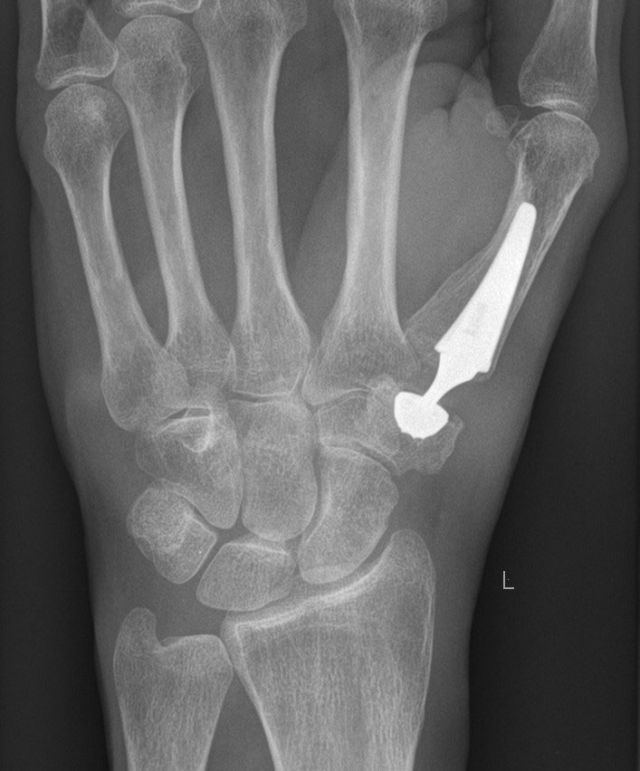
Postoperatives Röntgen: Implantierte Daumensattelgelenksprothese

Unser Behandlungsspekturm

Unsere Sprechzeiten

Sie erreichen uns
zu folgenden Zeiten:

Montag: 8.00 - 13.00 Uhr und 15.00 - 17.00 Uhr
Dienstag: 8.00 - 13.00 Uhr  und 15.00 - 17.00 Uhr
Mittwoch: 8.00 - 12.00 Uhr
Donnerstag: 8.00 - 13.00 Uhr
Freitag: 8.00 - 13.00 Uhr

Für Arbeitsunfälle und Notfälle ist die Praxis:
Montag / Dienstag: 8.00 - 17.00 Uhr
Mittwoch: 8.00 - 16.00 Uhr
Donnerstag / Freitag: 8.00 - 13.00 Uhr
durchgehend geöffnet.

TERMINVEREINBARUNG IST NOTWENDIG!
Eine Terminvereinbarung ist bei der Erstvorstellung wünschenswert, Notfälle oder dringende Fälle können selbstverständlich jederzeit in die Praxis kommen.